長谷川歯科 WEBLOG
長谷川歯科のブログです。
■CALENDAR■
日
月
火
水
木
金
土
1
2
3
4
5
6
7
8
9
10
11
12
13
14
15
16
17
18
19
20
21
22
23
24
25
26
27
28
<<前月
2026年02月
次月>>
■NEW ENTRIES■
勉強会に参加させて頂きました! (12/14)
野球の試合 (09/16)
群馬へ行ってきました。 (09/09)
佐渡に行ってきました (04/30)
新潟ハーフマラソンを出走しました! (03/16)
増築のご紹介 (03/15)
今年もよろしくお願い致します! (01/05)
増築工事完了間近となりました! (12/18)
野球観戦 (07/31)
歯科衛生士さんを募集しています! (05/15)
■CATEGORIES■
お知らせ (27件)
日記・雑記 (188件)
■ARCHIVES■
2025年12月(1件)
2025年09月(2件)
2025年04月(1件)
2025年03月(2件)
2025年01月(1件)
2024年12月(1件)
2024年07月(1件)
2024年05月(1件)
2023年12月(2件)
2023年11月(1件)
2023年08月(1件)
2023年04月(1件)
■PROFILE■
長谷川歯科
(
215
)
■LOGIN■
USER ID:
PASSWORD:
■OTHER■
RSS 1.0
RSS 2.0
Atom 0.3
Atom 1.0
<<次の記事
|
トップ
|
前の記事>>
2006,12,04, Monday
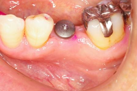
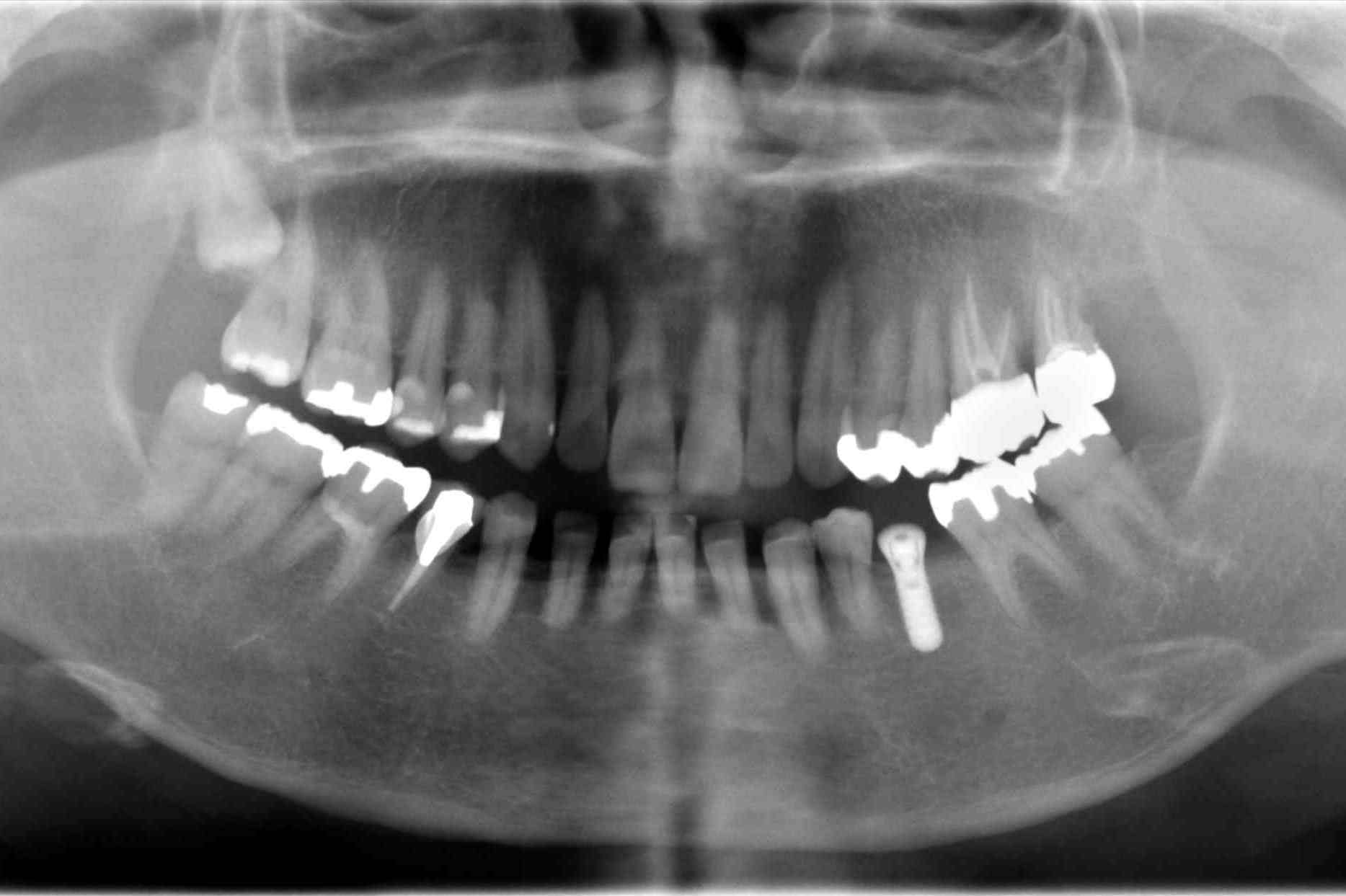
インプラント(人工の歯根)を入れた症例です。
author :
長谷川歯科
歯の根っこにひびが入り、抜歯となった左下にインプラント(人工の歯根)を使って歯を入れました
前後の歯を削らずにすみます
|
日記・雑記
| 10:31 PM | comments (x) | trackback (x) |
<<次の記事
|
トップ
|
前の記事>>