|
2009,11,14, Saturday
こんばんは
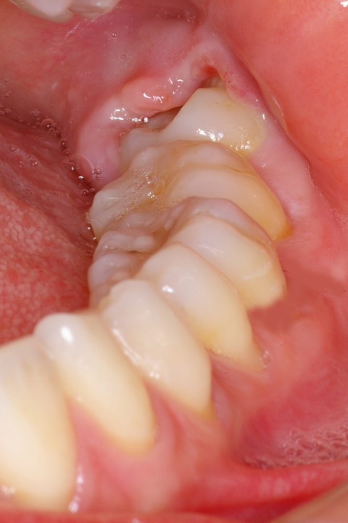
今週疲れがたまって、つらい思いをした私からの実感のこもったメッセージです ですが、厄介のことに、腫れている時はおやしらずの抜歯はできません。炎症がある状態では麻酔も効きづらいですし、刺激を与えることで炎症を周囲にまで波及させてしまうことがありますし、なおかつお口がいつもより驚くほど開かないので、抜歯操作そのものが困難なのです。智歯周囲炎になってしまった時は、まずは化膿止め(抗生剤)を服用して、炎症をおさえることとその部位の洗浄などが必要となります。私も2回目の智歯周囲炎のつらさを経験し、ついにはこの親知らずも炎症が治まったら抜いてもらおうと決心しました 現在抗生剤2日間服用して、症状が少し軽減傾向にある自分の口の写真です。(恥ずかしながら… 写真一番奥の親知らずの周りの歯肉が腫れているのがお分かりになると思います (非常勤:長谷川真弓)
| 日記・雑記 | 09:23 PM | comments (x) | trackback (x) |
|
