長谷川歯科 WEBLOG 長谷川歯科のブログです。
■CALENDAR■
1 2 3 4 5 6 7
8 9 10 11 12 13 14
15 16 17 18 19 20 21
22 23 24 25 26 27 28
<<前月 2026年02月 次月>>
■NEW ENTRIES■
■CATEGORIES■
■ARCHIVES■
■PROFILE■
■LOGIN■
USER ID:
PASSWORD:
■OTHER■

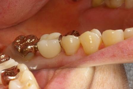
続いて奥歯のブリッジの症例です。
奥歯の2本を土台にしてブリッジを入れました。歯のないところにはブリッジを入れる治療が現在までの主流でした。
ただし、歯のないところにインプラント(人工の歯根)を植えると、土台の歯は削らないですみます。





| 日記・雑記 | 11:16 PM | comments (x) | trackback (x) |