長谷川歯科 WEBLOG 長谷川歯科のブログです。
■CALENDAR■
1 2 3 4 5 6 7
8 9 10 11 12 13 14
15 16 17 18 19 20 21
22 23 24 25 26 27 28
<<前月 2026年02月 次月>>
■NEW ENTRIES■
■CATEGORIES■
■ARCHIVES■
■PROFILE■
■LOGIN■
USER ID:
PASSWORD:
■OTHER■

続いて奥歯のブリッジの症例です。
奥歯の2本を土台にしてブリッジを入れました。歯のないところにはブリッジを入れる治療が現在までの主流でした。
ただし、歯のないところにインプラント(人工の歯根)を植えると、土台の歯は削らないですみます。





| 日記・雑記 | 11:16 PM | comments (x) | trackback (x) |
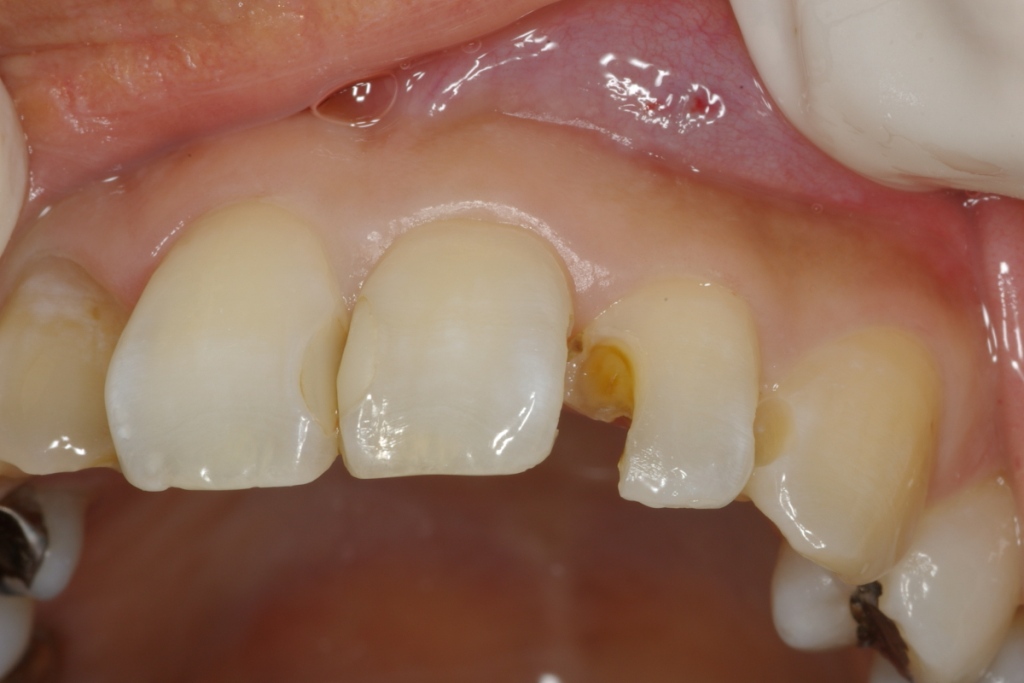
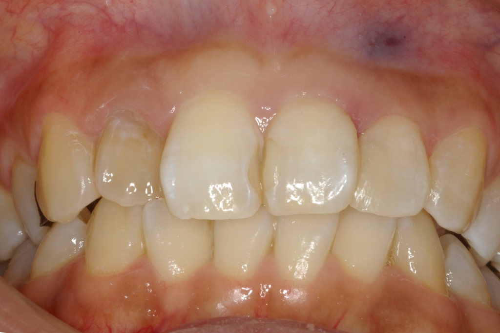
前歯をつめた症例です!
前歯を歯と同じ色のつめもの(「レジン」という材料)でつめた症例をおみせします病院



| 日記・雑記 | 10:32 PM | comments (x) | trackback (x) |
ブログを開始しました
長谷川歯科のブログを開始しました。

これから、ブログで「歯に関する情報等」をお届けしたいと思います。

| 日記・雑記 | 12:33 PM | comments (x) | trackback (x) |